Skip Menu
Continue
  • 87 North Broadway,
  • Tarrytown, NY 10591
  • Home
  • Why Choose Us
  • Services
      • Advanced Cosmetics
      • Orthodontics
      • Dental Implants
      • Advanced General Dentistry
      • Snoring Appliances
      • Technology
  • New Patients
  • Our Doctors
    • Kevin Jong, DMD
    • MinJi Kim, DDS
    • Peter Zegarelli, DDS (Retired)
  • Dental Health
  • Office Policies
  • Post Op
  • Contact
    • Contact Us
    • Request Appointment

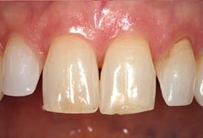
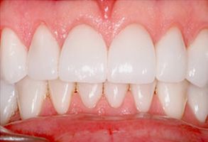
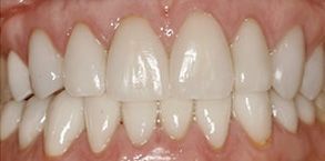
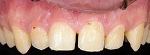
Smile Gallery

Our Location

87 North Broadway
Tarrytown, NY 10591
(914) 631-1800
Dedicated New Patient Line: (914) 380-3003

Follow Us